Vector Labs代理,歡迎訪問Vector Labs官網或者咨詢我們獲取相關Vector Labs產品信息以及報價。
Vector Labs 公司是世界著名的生物學檢測試劑公司,七十年代其在全球首推的生物素-親和素系統引領了生物學檢測方法的重大革命,該系統被普遍視為目前最靈敏、最可靠與最有效的染色系統,并被廣泛應用于免疫組織化學、免疫電鏡、原位雜交與凝集素化學中。該系統仍在不斷地發展,以滿足廣大研究人員的各種不同要求。Vector 公司還是世界上凝集素產品的主要供應商,并提供大量的新產品,如酶底物、神經元示蹤劑及蛋白質、糖類與核酸的標記、分離與檢測試劑。
BCIP/NBT Substrate Kit, Alkaline Phosphatase (AP), (5-bromo-4-chloro-3-indolyl phosphate/nitroblue tetrazolium)
Description
BCIP/NBT AP Substrate Kit forms an indigo, heat stable reaction product. This chromogen can be used singly or in combination with other alkaline phosphatase or peroxidase substrates for multiple label applications.
Features:
- Greater sensitivity than conventional substrates
- Consistent and reliable
- Ideal for IHC/ICC/ISH and blots
- Fluorescent
- Heat Stable
- Permanent mounting
- No wait times for mixing and dissolving powders or tablets
- Sufficient reagents to produce 200 ml of working solution
- Excitation: 645-685 nm*
- Emission: peaks at 823 and 855 nm*
*Biotechniques (2007) 42:756-759 and BioTechniques (2014) 57:254-256
?
Specifications
| Unit Size | 1 kit |
|---|---|
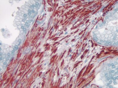
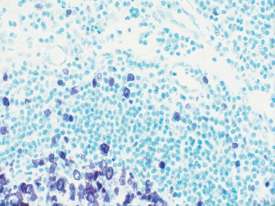
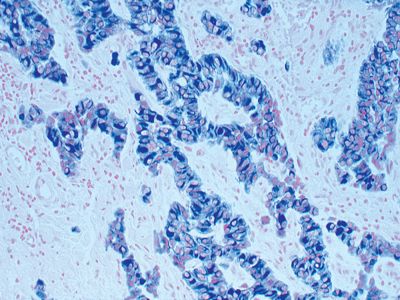
| Applications | Immunohistochemistry / Immunocytochemistry, Immunofluorescence, In situ hybridization, Blotting Applications, Elispot |
| Detection Enzyme(s) | Alkaline Phosphatase |
| Substrate Reaction Product | Precipitating Reaction Product |
| Chromogen Color | Indigo |
| Color of Fluorescence | Far Red |
| Microscopy | Brightfield, Fluorescence, Spectral Imaging |
| Additional Substrate Properties | Contrast with Tissue Pigments, Fluorescent, Heat Resistant, Multiple Labeling |
| Mounting | Aqueous (Hardening), Aqueous (Non-Hardening), Non-Aqueous (Permanent) |
| Safety Title | WARNING: Reproductive Harm – www.P65Warnings.ca.gov |
Kit Components
Kit Contents:
- 4 ml BCIP/NBT Reagent 1
- 3 ml BCIP/NBT Reagent 2
- 4 ml BCIP/NBT Reagent 3
Documents
- Enzyme Substrates Brochure
- Enzyme Substrate Combinations Chart
- Counterstain/Substrate Compatibility Chart
- User Guide
- Safety Data Sheet
- In Situ Hybridization Detection Protocol
- Download CoA
- Datasheet
Related Products
BLOXALL? Endogenous Blocking Solution, Peroxidase and Alkaline Phosphatase Catalog #: SP-6000-100
Nuclear Fast Red Counterstain Catalog #: H-3403-500
Methyl Green Counterstain Catalog #: H-3402-500
VectaMount? Permanent Mounting Medium Catalog #: H-5000-60
VectaMount? AQ Aqueous Mounting Medium Catalog #: H-5501-60
Levamisole Solution Catalog #: SP-5000-18
Citations
Technical Information
This substrate can be used for developing blots or for in situ hybridization. At 20-30 minute development times, the sensitivity of this substrate is equivalent to the other alkaline phosphatase substrates. However, BCIP/NBT will continue to develop from several hours to overnight making it one of the most sensitive chromogenic substrates. This kit contains stock solutions in convenient dropper bottles.


