Vector Labs代理,歡迎訪問Vector Labs官網或者咨詢我們獲取相關Vector Labs產品信息以及報價。
Vector Labs 公司是世界著名的生物學檢測試劑公司,七十年代其在全球首推的生物素-親和素系統引領了生物學檢測方法的重大革命,該系統被普遍視為目前最靈敏、最可靠與最有效的染色系統,并被廣泛應用于免疫組織化學、免疫電鏡、原位雜交與凝集素化學中。該系統仍在不斷地發展,以滿足廣大研究人員的各種不同要求。Vector 公司還是世界上凝集素產品的主要供應商,并提供大量的新產品,如酶底物、神經元示蹤劑及蛋白質、糖類與核酸的標記、分離與檢測試劑。
ImmPACT? DAB EqV Peroxidase (HRP) Substrate
Description
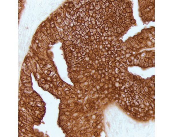
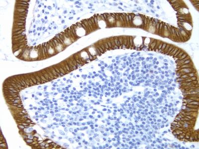
ImmPACT DAB EqV?consists of equal volumes of Reagent 1 and Reagent 2,?and when mixed together form a?working solution. ImmPACT DAB EqV produces a dark brown reaction product and?is 3 to 5 times more sensitive than the original DAB substrate.
Features:
- Optimized for IHC/ICC/ISH
- Heat Stable
- Suitable for permanent mounting
Specifications
| Unit Size | 100 ml, 400 ml |
|---|---|
| Applications | Immunohistochemistry / Immunocytochemistry, In situ hybridization, Blotting Applications, Elispot |
| Detection Enzyme(s) | Peroxidase |
| Substrate Reaction Product | Precipitating Reaction Product |
| Chromogen Color | Brown |
| Microscopy | Brightfield, Darkfield, Electron, Spectral Imaging |
| Additional Substrate Properties | Heat Resistant, Multiple Labeling |
| Mounting | Aqueous (Hardening), Aqueous (Non-Hardening), Non-Aqueous (Permanent) |
Documents
- User Guide
- Safety Data Sheet
- Download CoA
- Datasheet
Related Products
Hematoxylin Counterstain Catalog #: H-3401-500
Methyl Green Counterstain Catalog #: H-3402-500
Nuclear Fast Red Counterstain Catalog #: H-3403-500
Hematoxylin QS Counterstain Catalog #: H-3404-100
VectaMount? Permanent Mounting Medium Catalog #: H-5000-60
BLOXALL? Endogenous Blocking Solution, Peroxidase and Alkaline Phosphatase Catalog #: SP-6000-100
Technical Information
DAB (3,3'-diaminobenzidine) HRP substrate produces a dark brown reaction product and can be used for both immunohistochemical and blotting applications.The DAB chromogen is effective as a single label or as a second color for multiple antigen labeling. Because of its heat-resistance, DAB can be used in IHC/ ISH double labeling applications. With the aid of imaging systems and software, the spectral profile of DAB can be distinguished from our other proprietary enzyme substrates in applications where antigens are co-localized. Sections stained with DAB can also be viewed by darkfield and electron microscopy. Slides developed with DAB can be dehydrated, cleared, and permanently mounted. The DAB reaction product can be intensified with DAB Enhancing Solution (H-2200).
The working solution is stable for several days when stored at 4°C. This substrate can be used for both manual and automated staining methods. ImmPACT DAB EqV can be used for blot detection on nylon and PVDF membranes but is not recommended for nitrocellulose membranes.


