Vector Lab代理M.O.M.? (Mouse on Mouse) ImmPRESS? HRP (Peroxidase) Polymer Kit

Vector Labs代理,歡迎訪問Vector Labs官網或者咨詢我們獲取相關Vector Labs產品信息以及報價。
Vector Labs 公司是世界著名的生物學檢測試劑公司,七十年代其在全球首推的生物素-親和素系統引領了生物學檢測方法的重大革命,該系統被普遍視為目前最靈敏、最可靠與最有效的染色系統,并被廣泛應用于免疫組織化學、免疫電鏡、原位雜交與凝集素化學中。該系統仍在不斷地發展,以滿足廣大研究人員的各種不同要求。Vector 公司還是世界上凝集素產品的主要供應商,并提供大量的新產品,如酶底物、神經元示蹤劑及蛋白質、糖類與核酸的標記、分離與檢測試劑。

M.O.M.? (Mouse on Mouse) ImmPRESS? HRP (Peroxidase) Polymer Kit

MP-2400

SKU Unit Size Price Qty
MP-2400 1 kit

To request a quote for products:

  1. Click “Contact Us” in the header bar above;
  2. Click “Customer Service”;
  3. Complete the form and provide the following information in the “Comments” section: note you would like a quote, item number (SKU) and quantity;
  4. Click “Submit”.

M.O.M.? (Mouse on Mouse) ImmPRESS? HRP (Peroxidase) Polymer Kit

Description
Specifications
Kit Components
Documents
Related Products
Citations
Technical Information

Description

The?M.O.M. ImmPRESS Kit contains our proprietary M.O.M. Mouse Ig Blocking Reagent paired with a specialized, ready-to-use, one-step M.O.M. ImmPRESS Peroxidase Polymer reagent. It provides a significant reduction of endogenous mouse Ig staining when using mouse primary antibodies on mouse tissue.

Features:

  • Clear, crisp specific staining of antigens of interest
  • Procedures are simple and easy to follow
  • No tedious calculations or antibody prebinding steps required

?

Specifications

More Information
Unit Size 1 kit
Applications Immunohistochemistry / Immunocytochemistry
Technology Micropolymer Reagents, Mouse on Mouse (M.O.M.) Systems
Detection Enzyme(s) Peroxidase
Conjugate Micropolymer HRP
Target Species Mouse
Blocking Action Endogenous Mouse Ig

Kit Components

Kit Contents:

  • 0.6 ml concentrated stock solution of M.O.M. Mouse Ig Blocking Reagent
  • 30 ml ready-to-use (R.T.U.) 2.5% Normal Horse Serum (NHS) for general protein blocking
  • 15 ml R.T.U. M.O.M. ImmPRESS Anti-Mouse Ig Reagent (made in horse, ready-to-use)

Documents

  • M.O.M. (Mouse on Mouse) Troubleshooting Guide
  • User Guide
  • Safety Data Sheet
  • Download CoA
  • Datasheet

Related Products

M.O.M.? (Mouse on Mouse) ImmPRESS? HRP (Peroxidase) Polymer Kit

M.O.M.? (Mouse on Mouse) Blocking Reagent Catalog #: MKB-2213-1

M.O.M.? (Mouse on Mouse) ImmPRESS? HRP (Peroxidase) Polymer Kit

M.O.M.? (Mouse on Mouse) ImmPRESS? Polymer Reagent, Anti-Mouse IgG, Peroxidase Catalog #: MPX-2402-15

M.O.M.? (Mouse on Mouse) ImmPRESS? HRP (Peroxidase) Polymer Kit

Normal Horse Serum Blocking Solution, 2.5% Catalog #: S-2012-50

M.O.M.? (Mouse on Mouse) ImmPRESS? HRP (Peroxidase) Polymer Kit

ImmPACT? DAB Substrate, Peroxidase (HRP) Catalog #: SK-4105

M.O.M.? (Mouse on Mouse) ImmPRESS? HRP (Peroxidase) Polymer Kit

ImmPACT? NovaRED? Substrate, Peroxidase (HRP) Catalog #: SK-4805

M.O.M.? (Mouse on Mouse) ImmPRESS? HRP (Peroxidase) Polymer Kit

ImmPACT? VIP Substrate, Peroxidase (HRP) Catalog #: SK-4605

M.O.M.? (Mouse on Mouse) ImmPRESS? HRP (Peroxidase) Polymer Kit

ImmPACT? SG Substrate, Peroxidase (HRP) Catalog #: SK-4705

M.O.M.? (Mouse on Mouse) ImmPRESS? HRP (Peroxidase) Polymer Kit

ImmPACT? AMEC Red Substrate, Peroxidase (HRP) Catalog #: SK-4285

M.O.M.? (Mouse on Mouse) ImmPRESS? HRP (Peroxidase) Polymer Kit

ImmPACT? AEC Substrate, Peroxidase (HRP) Catalog #: SK-4205

Citations

M.O.M.? (Mouse on Mouse) ImmPRESS? HRP (Peroxidase) Polymer Kit Powered by Bioz See more details on Bioz

Technical Information

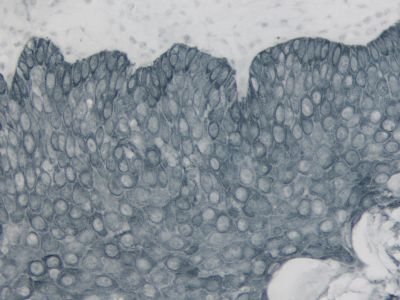
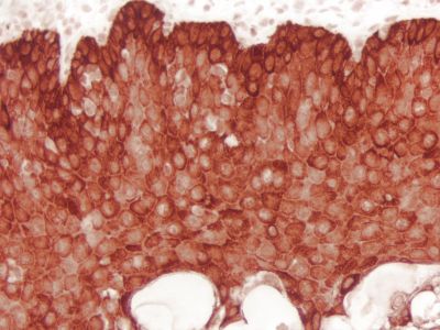
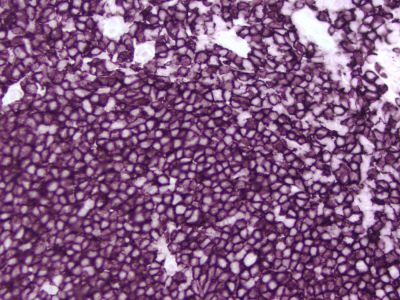
For years, researchers attempting to localize mouse primary antibodies on mouse tissue have relied on the Vector??M.O.M. Kit to produce crisp, strong, specific staining of antibody targets. ?The?Vector?M.O.M. Kits are specifically designed to significantly reduce endogenous mouse Ig staining when using mouse primary antibodies on mouse tissue. ?The inability of an anti-mouse detection antibody to distinguish between a primary antibody produced in mice and the endogenous mouse immunoglobulins present in mouse tissue results in high background staining which obscures specific staining. ?This problem can be essentially eliminated by using?Vector?M.O.M. Kits. ?The result is clear, crisp staining of the antigens of interest. ?Tedious calculations and primary antibody pre-binding steps are not required.

The M.O.M. ImmPRESS HRP polymer reagent is affinity purified and specifically optimized for use with the?M.O.M. Mouse Ig Blocking Reagent. ?The highly active peroxidase micropolymers of the?ImmPRESS Detection System provide outstanding sensitivity, limit steric interference, and enhance accessibility. ?Excellent staining results for a once difficult application have now become routine with the?Vector?M.O.M. System.

Key advantages of the ImmPRESS Polymer System:

  • High sensitivity
  • Low background
  • Micropolymer technology
  • Enhanced accessibility to nuclear and membrane antigens
  • One-step detection
  • Ready-to-use in a convenient dropper bottle
  • Shorter assay time
  • Simplified multiple labeling

The Vector?M.O.M. ImmPRESS Kit (Cat. No. MP-2400) contains sufficient reagents to stain approximately 150 mouse sections.

Home All Products Mouse on Mouse (M.O.M.) Kits M.O.M.? (Mouse on Mouse) ImmPRESS? HRP (Peroxidase) Polymer Kit