Vector Labs代理,歡迎訪問Vector Labs官網或者咨詢我們獲取相關Vector Labs產品信息以及報價。
Vector Labs 公司是世界著名的生物學檢測試劑公司,七十年代其在全球首推的生物素-親和素系統引領了生物學檢測方法的重大革命,該系統被普遍視為目前最靈敏、最可靠與最有效的染色系統,并被廣泛應用于免疫組織化學、免疫電鏡、原位雜交與凝集素化學中。該系統仍在不斷地發展,以滿足廣大研究人員的各種不同要求。Vector 公司還是世界上凝集素產品的主要供應商,并提供大量的新產品,如酶底物、神經元示蹤劑及蛋白質、糖類與核酸的標記、分離與檢測試劑。
Vector? Red Substrate Kit, Alkaline Phosphatase (AP)
Description
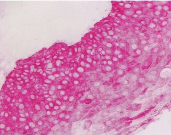
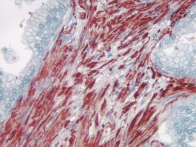
Vector? Red AP Substrate Kit produces a magenta heat stable reaction product that is also fluorescent. Sections stained with the Vector? Red substrate can be dehydrated, cleared, and permanently mounted.
Features:
- Greater sensitivity than conventional substrates
- Consistent and reliable
- Ideal for IHC/ICC/ISH and blots
- Ideal for single and multiple labeling
- Stock solutions supplied in convenient dropper bottles promoting ease of handling
- No wait times for mixing and dissolving powders or tablets
- One year expiry date
- Sufficient reagents to produce 200 ml of working solution
- Excitation: broad excitation spectrum, approx. 365 nm to 560 nm
- Emission: Above 560 nm
- Color: Red
Specifications
| Unit Size | 1 kit |
|---|---|
| Applications | Immunohistochemistry / Immunocytochemistry, Immunofluorescence, In situ hybridization, Blotting Applications, Elispot |
| Detection Enzyme(s) | Alkaline Phosphatase |
| Substrate Reaction Product | Precipitating Reaction Product |
| Chromogen Color | Magenta |
| Color of Fluorescence | Red |
| Microscopy | Brightfield, Fluorescence, Spectral Imaging |
| Additional Substrate Properties | Contrast with Tissue Pigments, Fluorescent, Heat Resistant, Multiple Labeling |
| Mounting | Aqueous (Hardening), Aqueous (Non-Hardening), Non-Aqueous (Permanent) |
Kit Components
Kit Contents:
- 4 ml Vector Red Reagent 1
- 4 ml Vector Red Reagent 2
- 4 ml Vector Red Reagent 3
Documents
- Enzyme Substrates Brochure
- Enzyme Substrate Combinations Chart
- Counterstain/Substrate Compatibility Chart
- User Guide
- Safety Data Sheet
- Download CoA
- Datasheet
Product FAQs
I have Vector Red AP substrate kit, SK-5100. The instructions for use suggest making a working solution with 100-200 mM Tris buffer. Can I use a 50 mM Tris buffer instead?
Related Products
BLOXALL? Endogenous Blocking Solution, Peroxidase and Alkaline Phosphatase Catalog #: SP-6000-100
Hematoxylin Counterstain Catalog #: H-3401-500
Methyl Green Counterstain Catalog #: H-3402-500
Hematoxylin QS Counterstain Catalog #: H-3404-100
VectaMount? Permanent Mounting Medium Catalog #: H-5000-60
VectaMount? AQ Aqueous Mounting Medium Catalog #: H-5501-60
VECTASHIELD? Antifade Mounting Medium Catalog #: H-1000-10
VECTASHIELD? Antifade Mounting Medium with DAPI Catalog #: H-1200-10
VECTASHIELD? HardSet™ Antifade Mounting Medium Catalog #: H-1400-10
VECTASHIELD? HardSet™ Antifade Mounting Medium with DAPI Catalog #: H-1500-10
Levamisole Solution Catalog #: SP-5000-18
Citations
Technical Information
This chromogen can be used singly or in combination with other alkaline phosphatase or peroxidase substrates for multiple label applications. Because of its stability under ISH conditions, Vector? Red can be used in IHC/ISH double labeling applications.
The bright red to orange fluorescence of the Vector Red reaction product can be visualized using DyLight? 594, Texas Red? or TRITC filter systems. This fluorescence is especially bright in dehydrated, permanently mounted sections. The fluorescence is stable and does not photobleach like most fluorescent dyes. This substrate can also be used for in situ hybridization or on blots, where it has a wider dynamic range than other substrates.
This kit contains stock solutions in convenient dropper bottles.


